Ultrasound Unwrapped
Your Pregnancy Ultrasound Guide

All About Ultrasound Unwrapped
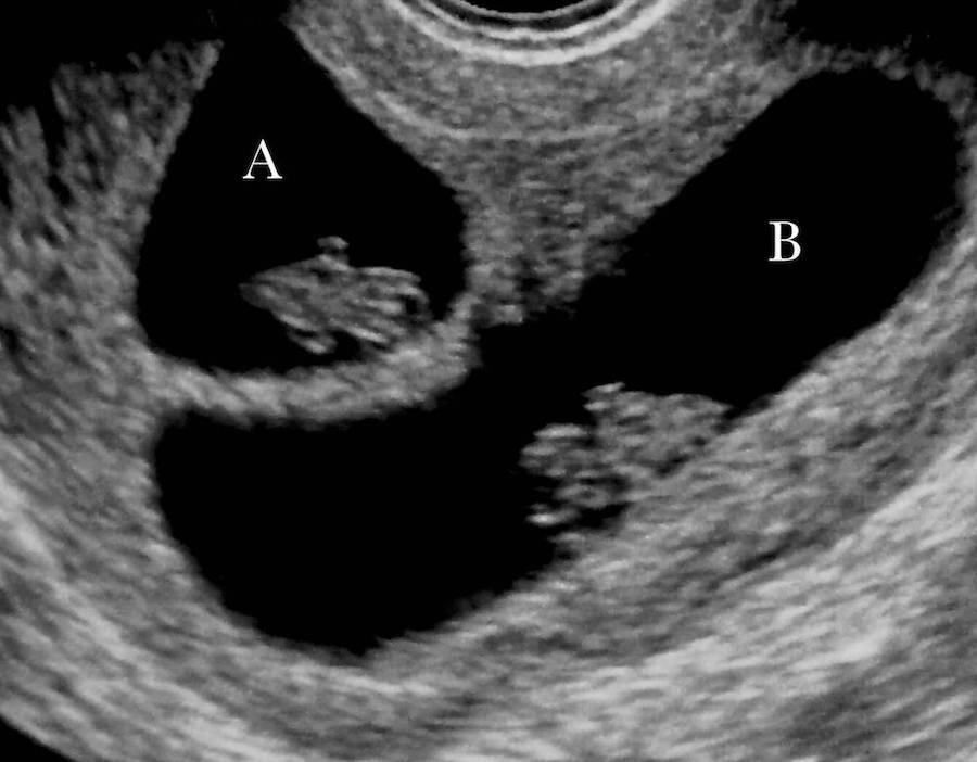
Your obstetric ultrasound. One of the most anxiously awaited events in your pregnancy between the positive test and delivery! The shifting clouds of gray on the monitor leave expectant parents baffled. You want to understand more. What do you see? What does it mean? Does it look normal? Parents-to-be worry about enough without the compounded confusion of misinformation.In Ultrasound Unwrapped: A Week-by-Week Pregnancy Image Guide, certified sonographer Sandra M. Minck, RDMS dispels the myths. She walks you through an ultrasound image journey of developing twins in the First Trimester. In addition, she provides a never-before published exploration into gender development in the Second and Third Trimesters. You'll learn about:• Ultrasound's role in your pregnancy, safety, and misconceptions
• Baby’s weekly First Trimester transformation
• Weekly pregnancy changes we expect to see and which are most important
• When and what to expect from your own First Trimester sonogram
• How to differentiate gender in the Second and Third TrimestersWith a gallery of over 150 images, you’ll be entertained and enlightened. You'll discover a better understanding of ultrasound imaging. You'll get what parents want to know most. And most importantly, you'll learn how ultrasound is utilized as a vehicle to a healthier mom and baby. Ultrasound Unwrapped will be a favorite addition to your treasure trove of parenting and pregnancy guides.
Get Your Copy today!
Part One
Unpacking the Facts

Explains ultrasound's role in your pregnancy, what it is and what it isn't, and addresses important misconceptions.
Part Two
First Trimester Growth

Follows a twin pregnancy in the First Trimester and shows you your baby's changes so you learn what you can expect to see during your own st Trimester sonogram, including how we measure and date your pregnancy.
Part Three
Gender Identification

An image tutorial on how to pick apart gender differences from Week 14 through Week 38.
Read what these moms have to say about Ultrasound Unwrapped…
Kristie R.
Excellent Information
I enjoyed reading Ultrasound Unwrapped! All through my pregnancies, I have wanted to see the growth of my babies from week to week through ultrasound. In low-risk pregnancies, you are only allowed a few ultrasound images, and I felt I was missing out. This book gave me that chance to see the development from embryo to baby.Ultrasound Unwrapped was a very informative book, with questions answered that I was always curious about. It will now be my go-to baby shower gift for expecting moms or dads or even grandparents.
Nyla
Great book!
This is one of the best books I have ever read about ultrasound! The text is clear and concise. I love all of the images that were included in the book. After reading her book, I feel as if I have a better understanding of ultrasound and fetal development!!
Samone W.
Everything expecting parents need to know about ultrasound!
A must have for every parent to be. This was the most informative and entertaining book I have read in awhile. The author takes the reader on a visual journey while providing professional insight into ultrasounds and discussing misconceptions surrounding the study and practice of sonography.During this unique reading experience, the book gives the reader several images that clarify many of the general questions most expecting parents have during an ultrasound appointment. It’s truly a page-turner that will have you glued to the book from Week 4 of the First Trimester all the way to the end.I highly recommend any person curious about ultrasounds and the pregnancy journey to pick up a copy.

Week 9 Embryo
Watch this little guy dance!


About the Author
Sandra M. Minck, RDMS
Sandra M. Minck, RDMS is a Registered Diagnostic Medical Sonographer of 33 years. She dedicated most of her career to a private OB/GYN practice specializing in women's healthcare where she performed obstetric studies in all weeks of pregnancy as well as gynecologic sonography. Ultrasound Unwrapped: A Week-by-Week Pregnancy Image Guide is her first book.She is the creator and author of UltrasoundUnwrapped.com and @ultrasound_unwrapped on Instagram, a credible source of information for expectant parents.Sandra is a devoted mother of two grown daughters and lives in south Florida with her husband.

To all who've read my book...
Thank you!
Ultrasound Unwrapped was a labor of love that took five full years to complete. I truly hope it helped you understand your sonogram images and gave you a bit of helpful insight!If you have other questions, email me!

© Ultrasound Unwrapped. All rights reserved.

